Protetika Praha - zubní korunky, zubní můstek a fixní zubní náhrady
Obnova chrupu
Co je protetika

Protetika se zabývá obnovou a náhradou chybějících zubů pomocí korunek, můstků a zubních náhrad. Moderní protetické práce obnovují funkci chrupu, zajišťují stabilitu, komfort a přirozený vzhled úsměvu s dlouhodobou spolehlivostí a vysokou estetikou. V Praze nabízíme zubní korunky, zubní můstky a celkovou rekonstrukci chrupu.

Náš tým využívá nejkvalitnější materiály a moderní techniky k vytvoření individuálních protetických řešení, která perfektně zapadají do vašeho chrupu a poskytují dlouhodobé a spolehlivé výsledky.

Typy protetických prací
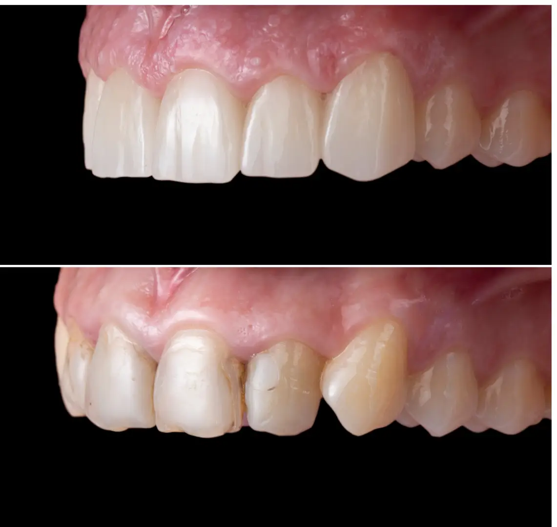
Zubní korunky

Zubní korunky jsou individuálně zhotovené náhrady, které pokrývají celý zub a obnovují jeho tvar, velikost a funkci. Používají se k ochraně oslabených zubů, obnově zlomených zubů nebo ke zlepšení vzhledu zubů. Moderní korunky jsou vyrobeny z kvalitních materiálů, které zajišťují přirozený vzhled a dlouhou životnost. V Praze nabízíme porcelánové i keramické korunky.

Náhrada zubů
Zubní můstky

Zubní můstky slouží k nahrazení jednoho nebo více chybějících zubů. Jsou upevněny na sousední zuby nebo implantáty a obnovují funkci i vzhled chrupu. Moderní fixní zubní náhrady (můstky) jsou navrženy tak, aby byly pohodlné, estetické a dlouhodobě funkční. V Praze nabízíme různé typy zubních můstků.

Kompletní řešení
Zubní náhrady

Zubní náhrady jsou odnímatelné náhrady chybějících zubů a okolních tkání. Moderní náhrady jsou navrženy tak, aby byly pohodlné, přirozeně vypadající a funkční. Nabízíme jak částečné, tak celkové zubní náhrady podle individuálních potřeb pacienta.

  • Částečné zubní náhrady pro částečně bezzubé čelisti

  • Celkové zubní náhrady pro bezzubé čelisti

  • Individuální přizpůsobení pro maximální komfort

  • Přirozený vzhled a estetika